17. Am I Really Pregnant?


October 15, 2017. The date we found out I was pregnant. What a whirlwind of emotions it contained. We headed to dinner that night to celebrate with my parents and shared the news that the baby was the size of a poppy seed! Imagine that! My mother had a poppy seed muffin that morning and the Jewish guilt associated with the poppy seed came on instantly!

I couldn’t believe it. I was going to be a Mommy. After years of heartache, was this real? Even though Marc and I were ecstatic, I couldn’t bring myself to say the sentence “I am pregnant.” When discussing it with Marc, I would say other things like, “with everything going on,” or “depending on how things go,” or “how I am feeling”… he quickly caught on that I couldn’t get myself to say the words and let me know it was OK. He said the words would be there when I was ready.

Two days later, I went to see if my beta numbers were doubling, the first sign of a viable pregnancy. Our beta went from 109 to 296. We were thrilled! Hurdle number one, check! A month later we would see a beta number of over 75,000. Insane!

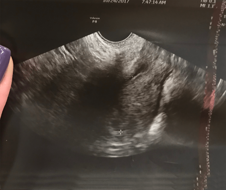
On October 24th, we went for our first ultrasound to see our baby girl. This was the most beautiful black circle we had ever seen!

 

5 Weeks pregnant.

 

One comment

  1. This was so beautiful. Thank you for sharing it with me and making me part of your journey. Wishing you all the best life has to offer.

    Like

Leave a comment